A very exciting article was just published this week in the prestigious journal The Lancet–Neurology. The title of the article is Neurobehavioral effects of developmental toxicity. The authors are the world-famous researchers Philippe Granjean, M.D., and Philip Landrigan, M.D., from the Harvard School of Public Health
These two authors published a highly regarded article in 2006 about the developmental neurotoxicity of industrial chemicals. In that article, the authors noted that “A few industrial chemicals (e.g. lead, methylmercury, polychlorinated biphenyls (PCBs), arsenic and toluene are recognized causes of neurodevelopmental disorders and subclinical brain dysfunction.”
This new article is an update on that original article by the same authors. In the new article, the authors point out that since 2006 epidemiologic studies have shown six additional developmental neurotoxicants. The article goes into great detail about the findings.
The authors importantly they point out that “Untested chemicals should not be presumed to be safe to brain development”.
This information is extremely important, because currently disorders of neurobehavioral development affect 10 to 15% of all births. In addition, the rates of autism spectrum disorder and attention deficit hyperactivity disorder are increasing worldwide.
The authors quickly point out that the root causes of this global pandemic of neurodevelopmental disorders is not completely understood. Certainly we know that genetic factors play a part, but genetics alone cannot explain the recent increases in prevalence that we are seeing in these disorders. The authors estimate the genetic factors account for no more than 30 to 40% of all cases of neurodevelopmental disorders that we see.
This quickly leads to the conclusion that environmental exposures are part of the causation and that in some cases these environmental exposures do interact with genetic predispositions.
The authors state that “Strong evidence exists that industrial chemicals widely disseminated in the environment are important contributors to what we have called the global silent pandemic of neurodevelopmental toxicity. The developing human brain is uniquely vulnerable to toxic chemical exposures and major windows of developmental vulnerability occur in utero and during infancy and in early childhood. During these sensitive lifestages, chemicals can cause permanent brain injury at low levels of exposure that would have little or no adverse effect in the adult.”

In my practice of medicine, I increasingly see women of childbearing age with enormous amounts of lead and mercury in their body. There is an epidemic of subclinical mercury toxicity in young people from the enormous amount of fish that they consume.
In this article, the authors state that neurological “deficits at seven years of age that were linked to low-level prenatal exposures to methylmercury were still detectable at the age of 14 years.”
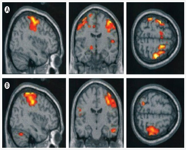
The authors also point out that “functional MRI scans of people expose prenatally to excess amounts of methylmercury showed abnormally expanded activation of brain regions in response to sensory stimulation and motor tasks.
The photo below is from that study with photo in group A from 3 adolescents with increased methylmercury exposure compared to Group B of the control group.

In addition, the authors point out that phthalates, that are found in personal care products that young women use regularly, are also linked to behaviors that resemble components of autism spectrum disorder, and ADHD.
Most importantly this is why I continue to talk to my young patients about detoxification of the future mother from all the heavy metals, phthalates, and the pesticides as much as we can before she conceives. There is no blood brain barrier in the brain of the developing fetus. All the mother’s chemicals that are in her body are dumped into the fetus during pregnancy.
Because reduction in IQ points are directly related to early exposure to these chemicals, people will have much healthier and smarter babies if the mother’s body burden of chemicals, is minimized before she conceives, and she avoids further exposure during her pregnancy.
In this article, the authors talk about the financial consequences of lost IQ points due to toxicity, and the resulting effect on the gross domestic product of the nation.
The chart below from the articles shows the number of IQ points lost due to certain exposures.

Because of this correlation between loss of cognitive skills caused by environmental toxins and a subsequent reduction in a child’s academic and economic attainments, calculations can be made about the financial costs involved. In the United States, the annual cost of methylmercury toxicity is estimated at roughly $5 billion. In the European Union, methylmercury exposure is estimated to cause a loss of about 600,000 IQ points every year, corresponding to an annual economic loss of close to €10 billion.
I urge all women of childbearing age to asks their doctors, including their gynecologists, to simply get a blood lead and mercury level on them. Your levels of these two metals should be zero when you conceive.
In my practice as an environmental doctor, I am able to go further and also measure a woman’s phthalate levels and pesticide levels, along with challenged urine tests that give us an idea of the mother’s total body load of heavy metals. These can easily be cleaned out before she conceives.
This is why I feel that Preconception Pregnancy Planning is so essential for women who want to have a new baby. I urge you to consider this for yourself and your loved ones. And that is why I do it with my young female patients.
The author of the article, Dr Grandjean, says it very well-
“We have the methods in place to test industrial chemicals for harmful effects on children’s brain development—now is the time to make that testing mandatory.”
I urge you to read this article and come to your own conclusions.
--------------------------
**All Pictures, except the opening picture, in this blog post are from the Original Article in the Lancet
==========================
More Reference Articles on this post

Dr Grandjean’s New Book Only One Chance: How Environmental Pollution Impairs Brain Development
Growing Number of Chemicals Linked with Brain Disorders in Children
The article in Lancet-Neurology just published this week
Developmental neurotoxicity of industrial chemicals.- The 2006 article
Children’s vulnerability to toxic chemicals: a challenge and opportunity to strengthen health and environmental policy
Inherited effects of low-dose exposure to methylmercury in neural stem cells
Decreased brain volume in adults with childhood lead exposure
Fish consumption, methylmercury and child neurodevelopment
Prenatal exposure to organophosphate pesticides and IQ in 7-year old children.
|
Dr. Soram
Board certified in Internal Medicine, Dr. Soram Khalsa is a clinical instructor of medicine at the David Geffen School of Medicine at UCLA, and an associate physician in the Division of Internal Medicine at Cedars-Sinai Medical Center. He is a clinical professor of medicine and past Chairman of the Advisory Committee for the Environmental Medicine Center of Excellence at Southwest College of Naturopathic Medicine in Phoenix, Arizona. He also served as a member of the Bureau of Naturopathic Medicine Advisory Council for the State of California and serves as Medical Director for the East-West Medical Research Institute. In 2007, Dr. Khalsa was chosen by his peers as one of the “Best Doctors” in America and serves in this capacity as a consultant for integrative medicine. Dr. Khalsa is a founding member of the American Holistic Medical Association and a founding member of the American Academy of Medical Acupuncture. He is the author of “The Vitamin D Revolution: How the Power of this Amazing Vitamin Can Change Your Life.” In his private medical practice, he integrates phytotherapeutics, environmental medicine, acupuncture and homeopathy with traditional Internal Medicine. The purpose of this blog is to share with the world more information on Integrative Medicine (IM). I have been practicing Integrative Medicine for over 28 years. I am a board certified internist and integrate Diet, Nutrition, Acupuncture, Herbal medicine, and homeopathy into my traditional Internal Medicine practice in Beverly Hills. Because my patients over and over have told me how much they have benefited from this approach, and because I realize not everyone wants or can have an IM physician, I have created this blog to share some of the information that I give to my patients on a regular basis. The special areas that I will be discussing will include:
I hope you will stay posted and learn things from my site that can have positive impact on your health and the health of your family. |


About Soram Singh Khalsa, M.D.